
试验结果写在前面
▶ 饲粮中添加鹅去氧胆酸CDCA对对虾的生长性能有积极的影响。
▶ 添加0.03%-0.09%CDCA可以提高整虾的粗蛋白含量。
▶ 添加0.06%CDCA导致scpmRNA表达显着增加,表明它可以促进固醇的吸收和利用。CDCA的补充可以上调npc1的表达水平,这表明添加CDCA可以加速虾体内的胆固醇运输。
▶ NC、BA2和BA3组的proPO和lgbp表达水平显著升高。这表明,CAP替代鱼粉同时添加0.06-0.09%的CDCA有激活前proPO免疫系统的潜力。
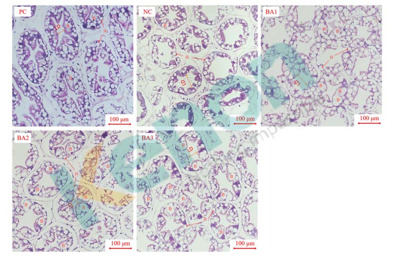
▶ 低鱼粉NC组虾的肝小管管腔明显扩张,是肝胰腺损伤的迹象;而添加0.06、0.09%胆汁酸虾的管腔无明显异常,表明CDCA的添加可以减轻虾的肝胰腺损伤。
摘要
本研究旨在探讨在凡纳滨对虾低鱼粉饲粮中添加鹅去氧胆酸(CDCA)对其生长性能、脂质和胆固醇代谢以及肝胰腺健康的影响。配制5种饲粮,其中一种含有25%的鱼粉(PC);其余4种饲粮中乙醇梭菌蛋白部分替代鱼粉,分别添加0、0.03、0.06和0.09%的CDCA(NC、BA1、BA2和BA3)。本研究对每个饲粮分配4个重复,每个重复由30对虾组成,平均体重为(0.25±0.03g)。每天喂虾4次,共喂食56天。在低鱼粉饲粮中添加0.06%的CDCA可提高凡纳滨对虾的生长性能、脂质和胆固醇代谢以及肝胰腺的健康状况。
试验设计

试验数据
1.生长性能
根据表3所示的数据,PC组对虾的最终体重(FBW)、增重(WG)和生长速率(SGR)与BA2组相似,且显著高于其他三组(p<0.05)。各组间的生存率(SR)相似(p>0.05)。5个试验组的饲料转化率(FCR)和饲料率(FI)均无显著差异(p>0.05)。PC组和BA1组对虾的蛋白效率(PER)均显著高于NC组(p<0.05)

2.虾体成分
如表4所示,5组间含水量无明显差异(p>0.05)。与BA1组和BA3组相比,NC组的粗蛋白含量显著降低(p<0.05)。在饲粮中添加CDCA后,虾的粗脂肪含量显著降低(p<0.05)。

3.血淋巴和肝胰腺的生化指标
由表5可知,血淋巴中TG的含量无差异(p>0.05)。PC组的T-CHOL含量显著高于其他4个组(p<0.05)。BA2饲粮中对虾的HDL-C含量显著高于NC和BA1饲粮(p<0.05)。LDL-C和ALT含量随着CDCA含量的增加而显著增加(p<0.05)。BA3组的对虾的AST含量显著高于NC饲粮(p<0.05)。除BA3外,PC对虾肝胰腺T-CHOL含量显著高于其他组(p<0.05)。PC中肝胰腺中脂肪酶含量显著低于BA1(p<0.05)。

4.脂质代谢相关基因在肝胰腺中的相对表达
如图1所示,在与脂质代谢相关的基因中,BA2组甘油三酯脂肪酶tgl的mRNA表达量显著高于NC组,BA1组和BA3组ampk的mRNA表达量显著高于PC组(p<0.05)。与PC饲粮喂养的对虾相比,饲粮中添加CDCA下调了srebp的mRNA表达(p<0.05)。在低鱼粉饲粮中添加CDCA,影响了凡纳滨对虾肝胰腺中胆固醇醇代谢相关基因的表达水平。与NC相比,饲粮中添加CDCA上调了npc1、7dhcr和∆24的mRNA表达(p<0.05)。与NC相比,BA2和BA3中hmgcr的mRNA表达显著增加(p<0.05)。在所有组中,肝胰腺中类固醇还原酶(sr)的mRNA表达均相似(p>0.05)。与其他组相比,BA2虾scp表达量最高(p<0.05)。

图1.脂质代谢和胆固醇代谢相关基因mRNA的相对表达。
a肝胰腺中脂质代谢相关基因的表达。b肝胰腺中胆固醇代谢相关基因的表达。
5.苯酚氧化酶相关基因的相对表达
如图2所示,在与苯酚氧化酶系统相关的基因中,NC组中酚氧化酶(proPO)、脂多糖和B-1,3-葡聚糖结合蛋白(1gbp)的表达水平显著高于PC组;随着CDCA水平的升高,proP0、lgbp和丙氧化酶激活因子(ppaf)的mRNA表达呈先降后升的趋势(p<0.05)。

图2.苯酚氧化酶相关基因的相对表达。
6.肝胰腺的形态学分析
如图3所示。凡纳滨对虾肝胰脏由多个肝管组成,肝管中的大液泡为B细胞(Blasenzellen细胞),小脂滴为R细胞(Restzellen细胞),五角星或四角星形区域为肝胰管腔(Lumenofhepatopancreatictubules)。HE染色肝胰脏显示,随着CDCA添加量的增加,肝管中B细胞数量逐渐增加,R细胞数量逐渐减少,对照组虾体肝胰管腔扩张甚至破裂。BA1组对虾的管腔有轻微损伤,其他组对虾管腔结构正常。

图3.CDCA对低鱼粉饲料对虾肝胰腺形态的影响。
7.胆汁酸代谢相关蛋白表达
如图4所示,与PC虾相比,添加0.06%CDCA的饲料显著下调了SREBP1的蛋白表达(p<0.05)。在所有组中,肝腺中FXR的蛋白表达相似(p>0.05)。

图4.低鱼粉饲料中补充CDCA对凡纳滨对虾蛋白质沉积的影响。
试验结论
本研究旨在评估在用CAP代替鱼粉的饲料中添加CDCA对凡纳滨对虾的影响。研究表明,添加0.06%的CDCA可以减轻CAP代替鱼粉对凡纳滨对虾生长性能、脂质和胆固醇代谢以及肝胰腺健康的负面影响。
原文:Effects of dietary chenodeoxycholic acid supplementation in a low fishmeal diet containing Clostridium autoethanogenum protein on growth, lipid and cholesterol metabolism, and hepatopancreas health of Litopenaeus vannamei
作者:Shi M, Zheng C, Sun Y, et al.
发表期刊:Animals, 2023, 13(13): 2109.
链接:https://doi.org/10.3390/ani13132109
备注:转载只为分享,以学习交流为目的,如有侵权,联系删除。